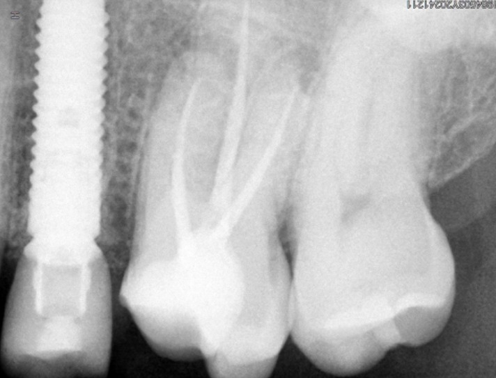
La endodoncia, conocida comúnmente como tratamiento de conducto, es un procedimiento que realizamos cuando el tejido interno del diente (la pulpa o “nervio”) se ve afectado por una caries profunda, un traumatismo o una infección. Nuestro objetivo es salvar el diente natural, evitando su extracción y preservando la funcionalidad y estética de la boca.Este tratamiento consiste en limpiar cuidadosamente el interior del diente, eliminando el tejido dañado o infectado, desinfectar los conductos y luego sellarlos con materiales biocompatibles.
Nuestra forma de trabajo
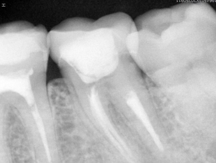
Todo el proceso se realiza con tecnología de última generación, que nos permite trabajar con máxima precisión, minimizar molestias y reducir el tiempo de tratamiento.
En nuestro consultorio utilizamos:
- Instrumentación rotatoria que permite mayor eficiencia y control
- Localizadores electrónicos de ápice, que nos brindan precisión milimétrica
- Radiografía digital para evaluar el caso y controlar cada etapa del tratamiento
- Materiales de obturación de alta calidad, que aseguran una excelente sellado
Además, ofrecemos un seguimiento post-tratamiento para asegurarnos de la correcta cicatrización y, si es necesario, planificar la rehabilitación del diente tratado con una incrustación o corona.



