La estética dental busca mejorar la forma, el color y la armonía de los dientes, siempre respetando la funcionalidad y la salud bucal. Estos tipos de tratamientos pueden transformar totalmente la sonrisa de un paciente, aportando seguridad y confianza.
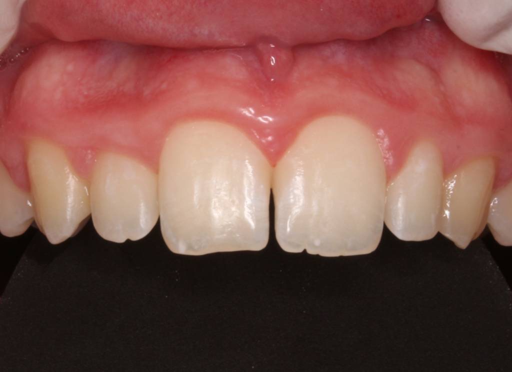
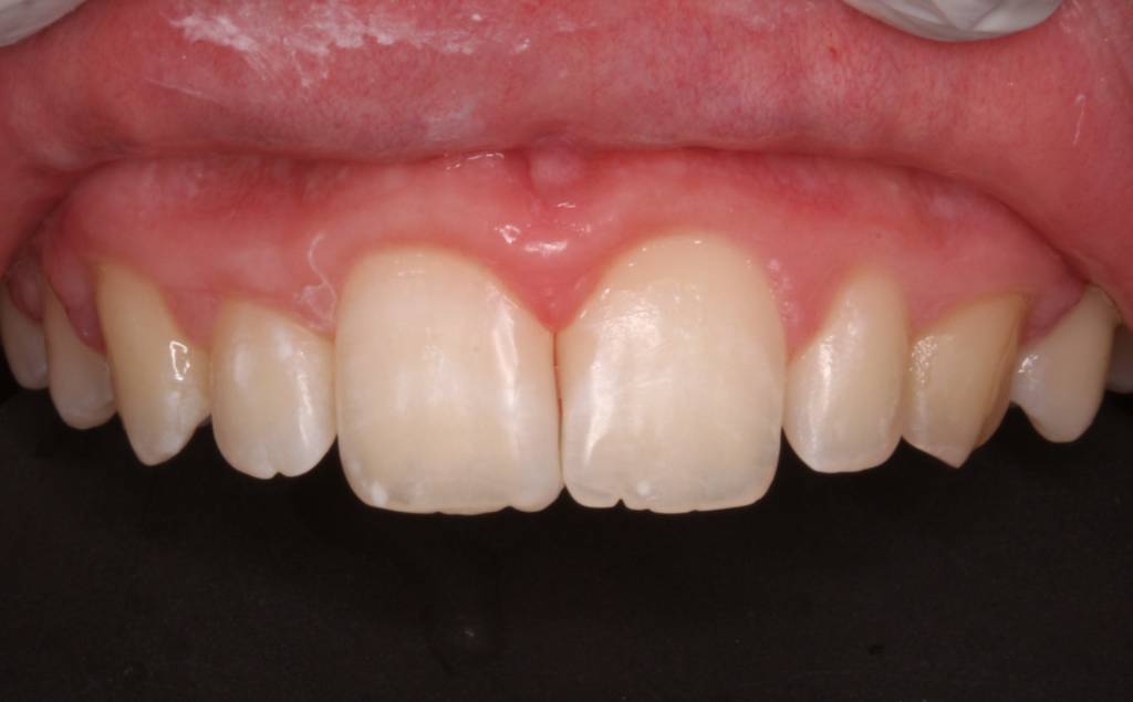
Entre los procedimientos más comunes se encuentran el blanqueamiento dental profesional, que aclara el tono de los dientes de manera segura y eficaz, y las carillas estéticas. Las carillas dentales son finas láminas de porcelana o resina que se adhieren a la cara visible de los dientes, permitiendo mejorar su forma, color, tamaño y posición de manera rápida y eficaz. Son una excelente opción para quienes desean una transformación rápida y duradera de su sonrisa.
- Con las carillas es posible corregir:
- Dientes manchados o amarillentos que no responden al blanqueamiento.
- Fracturas, desgastes o irregularidades.
- Espacios entre dientes (diastemas).
- Diferencias de tamaño o forma entre piezas dentales.
Nuestra filosofía de trabajo
En nuestro consultorio realizamos un estudio estético personalizado, que incluye análisis facial, diseño digital de la sonrisa y selección del tipo de carilla más adecuado para cada caso. Gracias a nuestra tecnología digital CAD/CAM y laboratorio propio, podemos confeccionar carillas con máxima precisión, logrando un resultado natural, armónico y adaptado a las facciones del paciente.Nuestro objetivo es ofrecer tratamientos estéticos que combinen belleza, funcionalidad y durabilidad, brindando a cada persona la posibilidad de lucir una sonrisa más brillante, saludable y en completa armonía con su rostro.




