La salud bucal en la infancia es fundamental para asegurar un correcto desarrollo del sistema masticatorio y prevenir problemas a futuro. La odontopediatría está enfocada en la prevención, el diagnóstico y el tratamiento de enfermedades bucales a edades tempranas.
Nuestra filosofía de trabajo
En nuestro consultorio, atendemos a los pacientes en un ambiente cálido, amigable y contenedor para que los más pequeños se sientan cómodos y seguros. Nos ocupamos de realizar:
- Controles periódicos desde la infancia, para detectar de manera temprana caries, alteraciones en la erupción dentaria o hábitos perjudiciales (como la succión digital, respiración bucal o el uso prolongado del chupete).
- Educación en higiene bucal y hábitos saludables, enseñando a los niños y guiando a las familias para instaurar rutinas de cuidado diario.
- Tratamientos preventivos como fluorizaciones y selladores, que refuerzan los dientes y reducen el riesgo de caries.
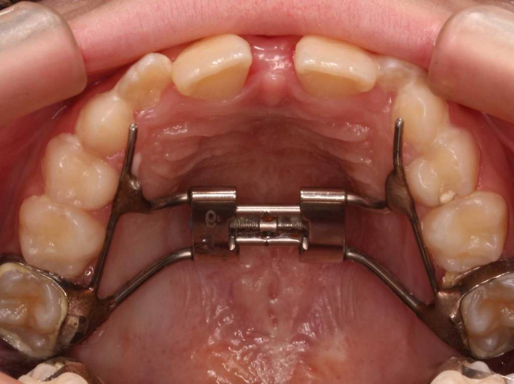
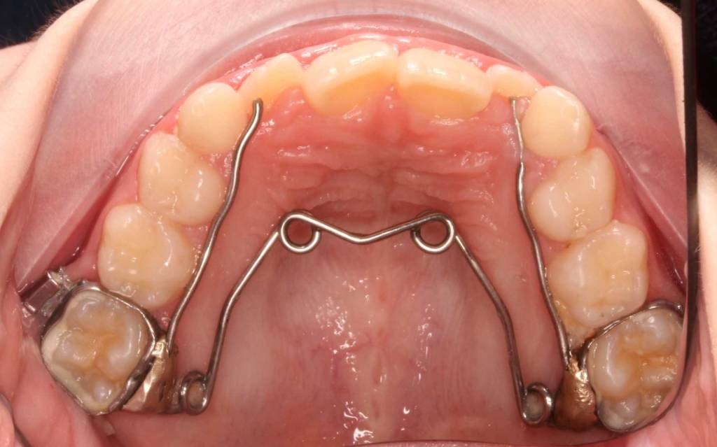
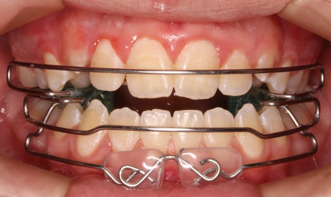
- Ortopedia funcional y correctiva, mediante aparatos removibles o fijos, para corregir desbalances en la mordida, guiar el crecimiento de los maxilares y favorecer una correcta alineación dentaria para evitar problemas más complejos a futuro.
La combinación de odontopediatría y ortopedia nos permite no solo cuidar los dientes de leche y permanentes en formación, sino también actuar de manera temprana para evitar complicaciones más complejas en la adolescencia o adultez.
Acompañamos a cada niño en su desarrollo con un enfoque integral, cercano y adaptado a cada etapa, brindando la atención que necesitan para crecer con una sonrisa saludable.




