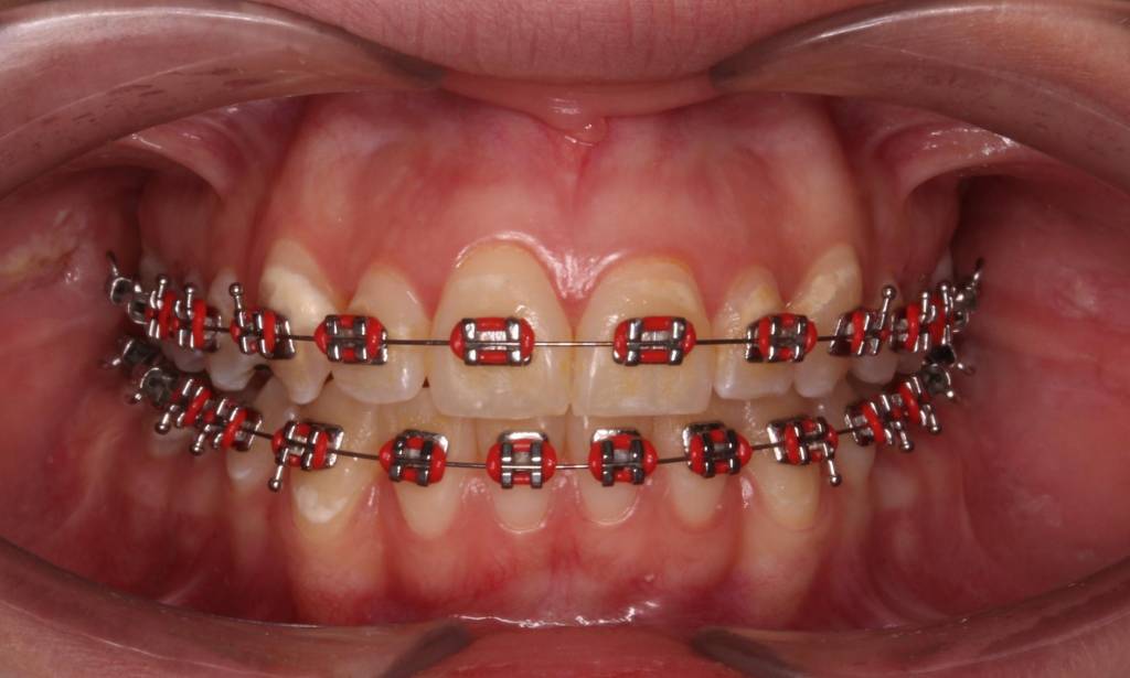
La ortodoncia convencional es uno de los tratamientos más utilizados para corregir problemas de alineación dental y alteraciones en la mordida. Se basa en el uso de brackets metálicos o estéticos, que aplican fuerzas suaves y controladas sobre los dientes para guiarlos hacia su posición correcta. Es una técnica sumamente efectiva, versátil y accesible, recomendada para pacientes de todas las edades que buscan mejorar tanto la estética de su sonrisa como la salud de su función masticatoria.
Nuestro proceso de trabajo
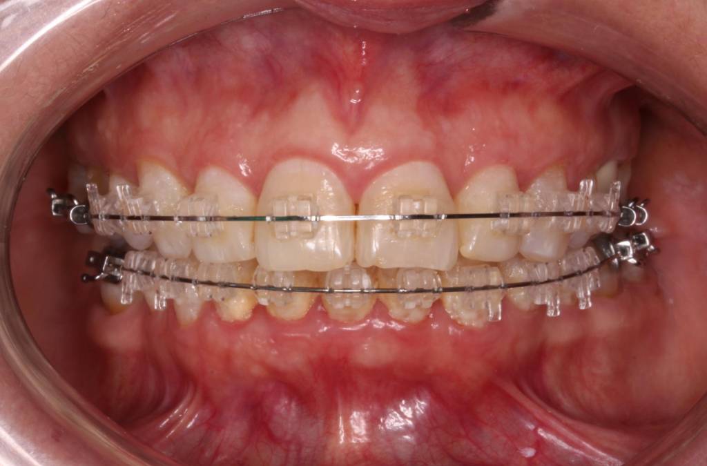
En nuestro consultorio abordamos cada caso de manera personalizada. Comenzamos con un diagnóstico digital completo, que nos permite estudiar la posición de los dientes, la mordida y la estructura ósea. A partir de esta información elaboramos un plan de tratamiento adaptado a las necesidades y expectativas de cada paciente. Durante todo el proceso realizamos un seguimiento cercano, garantizando que la evolución sea la adecuada y que los resultados obtenidos no solo sean estéticos, sino también funcionales y duraderos.
Si estás buscando mejorar la alineación de tus dientes y lograr una mordida más estable y saludable, este es tu lugar.



