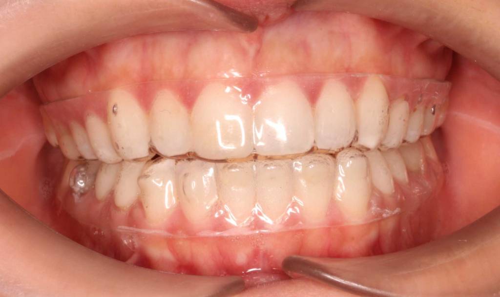
La ortodoncia invisible con alineadores transparentes es una de las opciones más estéticas y cómodas para corregir la posición de los dientes. Estos dispositivos, prácticamente imperceptibles, se fabrican a medida mediante tecnología digital de última generación y permiten mover los dientes de manera progresiva sin necesidad de brackets ni alambres. Una de sus principales ventajas es que son removibles, lo que facilita la higiene oral y brinda libertad para comer sin restricciones durante el tratamiento.
El enfoque en nuestro consultorio
El proceso para obtener los alineadores es altamente preciso y requiere una planificación digital detallada. Mediante un software ortodóncico especializado definimos cómo y en qué momento se moverá cada diente, lo que garantiza movimientos controlados y resultados predecibles. Además, pueden realizarse tratamientos híbridos combinando alineadores con brackets en determinados sectores para optimizar la eficacia del tratamiento, siempre adaptándonos a las necesidades de cada paciente.
En nuestro propio laboratorio digital diseñamos y confeccionamos los alineadores. Esto nos permite un control total sobre cada etapa del tratamiento y la posibilidad de realizar ajustes inmediatos si son necesarios. Acompañamos a cada paciente con un seguimiento cercano, asegurándonos de que el proceso sea cómodo, y los resultados estéticos y funcionales cumplan con sus expectativas.
Si buscás alinear tu sonrisa de manera discreta, eficiente y con la última tecnología, este tipo de tratamiento es para vos.



